치료사례

CASES

[01]

강아지 치료사례

슬개골탈구

십자인대파열

췌장염

신부전

심장병

강아지 건강검진

슬개골탈구

강아지 슬개골은 뒷다리 대퇴골 말단에 있는 작은 조각의 뼈를 말합니다. 슬개골이 무릎 홈에 위치해야 정상인데, 여러 원인으로 인해 슬개골이 내/외측으로 빠지는 증상을 슬개골 탈구라고 합니다.

엑스레이2살 비숑프리제 : 슬개골탈구 수술

2살 비숑프리제가 옥길아라동물치료센터에 내원했습니다. 처음 내원할 때, 아이가 잘 걷지 않으려고 해서 병원에 내원해주신 경우입니다. 정확한 확인을 위해 정형 검사와 영상 검사를 진행하였습니다. 꼼꼼한 검사 결과 우측 슬개골 탈구3기와 좌측 슬개골 탈구 2기로 진단되었습니다. 엑스레이 검사 상으로 양측 슬개골이 내측으로 변위되었고, 우측의 변위가 더 심했습니다. 보행에 큰 불편함이 확인된 상태로 수술적 치료가 필요한 상황이었습니다. 수술은 증상에 따라 다른 수술 방법이 적용됩니다. 옥길아라동물의료센터 의료진은 정밀한 수술과 예후 관찰을 진행하였습니다. 양측 대퇴골 활차구 성형과 슬개골 탈구 3기에 해당하는 우측은 경골 조면 이식술을 병행 적용키로 결정하여 수술을 진행하였습니다. 수술 경험이 풍부한 외과 전담 선생님과 전문 의료진이 아이의 수술을 전담 진행하였고, 수술 후에는 빠른 회복을 재활치료를 진행해 주었습니다. 수술 후 2일차부터 염증 수치는 안정화되었고, 3일차 부터 잘 걷게 되어 무사히 보호자님께 인계되었습니다.

슬개골 탈구 수술은 증상에 따라 다른 수술 방법이 적용됩니다. 옥길아라동물의료센터 의료진은 정밀한 수술과 예후 관찰을 진행합니다.
GO TO BLOG

[02]

고양이 치료사례

결막염

수신증

복막염

치아흡수성 병변

신우신염

고양이 건강검진

결막염

결막은 고양이의 눈꺼풀 위~아래까지 이어지는 얇은 막을 뜻하는데, 결막과 각막이 이물질로부터 고양이의 눈을 보호해주는 역할을 합니다. 결막염은 결막에 염증이 생긴 것을 의미하며 고양이 눈병 중 가장 많이 발생되며 전염력이 높기 때문에 고양이 사이에서 빈도수가 잦은 질병입니다. 결막염의 종류는 감염성 결막염과 비감염성 결막염으로 구분 합니다.

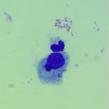
진료사례4개월 먼치킨 : 결막염 치료

4개월된 먼치킨 고양이가 옥길아라동물치료센터에 내원했습니다. 아이는 심한 결막 부종, 눈물, 눈곱 증상이 있어 보호자분과 함께 내원하였습니다. 원인을 찾기 위해 도말 검사를 진행하였습니다. 도말 검사 결과 봉입체로 생각되는 양상이 다수 발견되어, 클라미디아 결막염으로 진단되었습니다. 이에 맞는 항바이러스 안약 및 적절한 항생제를 투여 조치 하였고, 집에서 관리가 가능하도록 자세히 안내드리고 모니터링을 진행하였습니다. 치료 진행 2주뒤, 아이의 눈은 깨끗하게 회복되었고, 건강한 눈으로 활동하고 있는 것을 확인할 수 있었습니다.

옥길아라동물의료센터는 고양이 친화 병원으로써 예민한 고양이가 불편하지 않게 치료받을 수 있도록 진료 및 처치를 진행하고 있습니다. 고양이의 불편한 증세가 확인되시면, 옥길아라동물의료센터에 내원하셔서 적절한 치료를 받으시길 바랍니다.
GO TO BLOG